어린이의 폐렴 진단을 지원하기위한 X- 레이 이미지
브라질의 아동 사망률의 원인으로서 폐렴의 관련성은 최근 보건부 문서에서 정식으로 입증되었습니다. 폐렴은 아동 사망률의 가장 중요한 원인으로 브라질을 포함한 개발 도상국에서 어린이 사망의 두 번째 원인을 차지합니다.
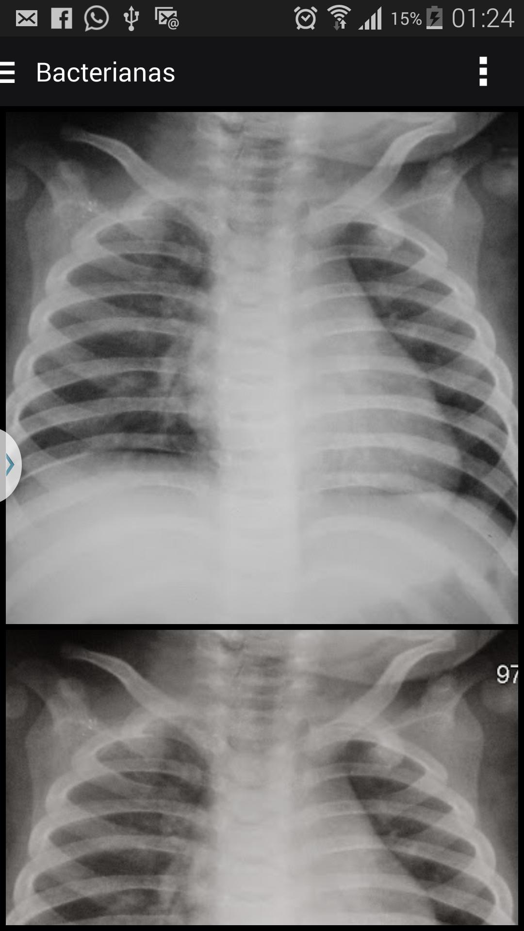
흉부 X- 레이는 세계 보건기구 (WHO)에 의해 매일 임상 실습에서 폐렴 진단에 현재 이용 가능한 최상의 방법으로 간주됩니다. 그러나 관측 변동에 대한 연구는 모든 의학 분야에서 일반적이지만, 이미지 연구에서 우세합니다.이 분야에서 관찰자의 성능은 지난 10 년 동안 얻은 기술 발전과 대조되는 연약한 부분을 나타냅니다.
숙련 된 관찰자위원회의 "합의"와 다른 해석을 "오류"라고 할 수 있습니다. 관찰자 간의 변화는 관찰자의 오류가있을 때 발생하지만 올바른 해석이 나타내는 것에 대한 일반적인 의견 차이가있는 경우도 포함됩니다. 방사선 사진 해석에서 오류와 변형이 특히 연구되었습니다.
모든 연구 결과의 유효성을 결정하기 위해 진단 테스트의 정확도는 가능한 한 현실에 가깝고“표준이라고도하는 참조 값
진단 테스트의 평가에서 기본 요소. 흉부 방사선 진단의 경우, 특히 어린 시절의 정확도는 상호 및 관찰 내 계약을 통해 주관적으로 평가됩니다. 교수 진단에서 참조 (표준)로 사용될 수있는 패턴은 거의 없기 때문입니다.
따라서 현재 유년기 폐렴의 파노라마에는 다음과 같은 특성이 있습니다.
(i) 폐렴은 어린 시절의 이환율과 사망률의 중요한 원인입니다.
(ii) 미생물 학적 관점에서 민감한 진단 검사가 부족하다.
(iii) 매우 효과적인 유년기 백신 (HIB 백신 및 항 말수 구균)은 이용 가능 여부입니다.
(iv) 연구 간의 비교를 가능하게하기 위해 표준화에 적용될 수있는 개발 분야에서 이용할 수있는 정확한 진단 테스트가 부족하고 기술 구현이 부족합니다. 흉부 방사선 촬영을 다르게 사용하는 장점
폐렴 감시 연구에서 세계의 지역은 저렴한 비용을 정당화합니다. 대부분의 연구 현장에서 가용성; 다른 연구와의 비교의 생존 가능성; 이미지를 디지털화하기 쉽고 저장; 판독 값의 표준화 가능성과 방법의 낮은 의원성.
건강의 인공 지능 의학에서 인공 지능 (AMI)을 사용하는 전문가 시스템의 적용은 특히
(i) 경고 및 알림;
(ii) 진단 지원;
(iii) 치료 비판;
(iv) 정보 복구 에이전트; 그리고
(v) 이미지의 인식 및 해석. AMI 시스템의 구현에 대한 현재 과제 중에는 의료 실무의 측면을 정확하게 특성화하는 시스템의 개발이 있습니다.
지난 30 년 동안 계산 비전 (VC)은 새로운 AI 도구로 제공됩니다. VC는 모든 개인의 개인 지식을 고려 하고이 지식을 수학적 모델 형태로 모델링하고 이전에 해결 된 문제를 기반으로 새로운 문제를 해결하는 것을 목표로합니다. 언급 된 중요한 특징은 제품으로서 VC가 벌차에서 적용에서 나오는 정보의 표준화를 가진 기술 진화입니다.
November 26, 2025
November 25, 2025
November 25, 2025
November 25, 2025
November 24, 2025
November 24, 2025
November 24, 2025
November 24, 2025
November 24, 2025
November 24, 2025